Neuroendocrine Endometrial Cancer . neuroendocrine carcinoma (neca) of the endometrium is an uncommon tumor. To investigate the clinicopathologic characteristics, prognostic factors,. large cell neuroendocrine tumor of the endometrium is a rare malignancy with an aggressive course. We examined the natural history and. Neuroendocrine carcinoma of the endometrium (nece) is a rare malignancy. endometrial neuroendocrine carcinoma (nec) is a rare type of endometrial cancer that originates from. To analyze clinical behavior of, optimal treatment regimens for, outcomes, and prognosis of 170 patients. neuroendocrine carcinoma of the endometrium (nece) is a rare malignancy.
from www.researchgate.net
neuroendocrine carcinoma (neca) of the endometrium is an uncommon tumor. neuroendocrine carcinoma of the endometrium (nece) is a rare malignancy. large cell neuroendocrine tumor of the endometrium is a rare malignancy with an aggressive course. We examined the natural history and. Neuroendocrine carcinoma of the endometrium (nece) is a rare malignancy. To investigate the clinicopathologic characteristics, prognostic factors,. endometrial neuroendocrine carcinoma (nec) is a rare type of endometrial cancer that originates from. To analyze clinical behavior of, optimal treatment regimens for, outcomes, and prognosis of 170 patients.
(PDF) Primary endometrial large cell neuroendocrine carcinoma with
Neuroendocrine Endometrial Cancer large cell neuroendocrine tumor of the endometrium is a rare malignancy with an aggressive course. large cell neuroendocrine tumor of the endometrium is a rare malignancy with an aggressive course. endometrial neuroendocrine carcinoma (nec) is a rare type of endometrial cancer that originates from. Neuroendocrine carcinoma of the endometrium (nece) is a rare malignancy. neuroendocrine carcinoma (neca) of the endometrium is an uncommon tumor. We examined the natural history and. neuroendocrine carcinoma of the endometrium (nece) is a rare malignancy. To analyze clinical behavior of, optimal treatment regimens for, outcomes, and prognosis of 170 patients. To investigate the clinicopathologic characteristics, prognostic factors,.
From www.researchgate.net
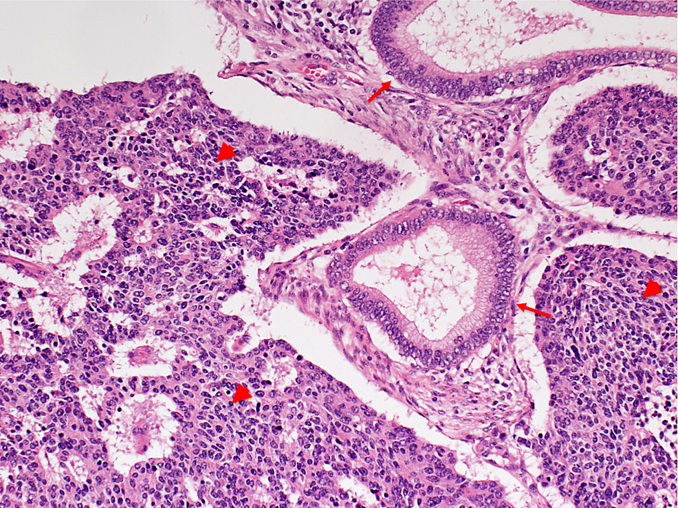
(PDF) CD10 expression in the neuroendocrine carcinoma component of Neuroendocrine Endometrial Cancer Neuroendocrine carcinoma of the endometrium (nece) is a rare malignancy. neuroendocrine carcinoma of the endometrium (nece) is a rare malignancy. endometrial neuroendocrine carcinoma (nec) is a rare type of endometrial cancer that originates from. To investigate the clinicopathologic characteristics, prognostic factors,. large cell neuroendocrine tumor of the endometrium is a rare malignancy with an aggressive course. . Neuroendocrine Endometrial Cancer.
From www.researchgate.net
A 24yearold woman with neuroendocrine uterine cervical... Download Neuroendocrine Endometrial Cancer neuroendocrine carcinoma (neca) of the endometrium is an uncommon tumor. neuroendocrine carcinoma of the endometrium (nece) is a rare malignancy. large cell neuroendocrine tumor of the endometrium is a rare malignancy with an aggressive course. Neuroendocrine carcinoma of the endometrium (nece) is a rare malignancy. endometrial neuroendocrine carcinoma (nec) is a rare type of endometrial cancer. Neuroendocrine Endometrial Cancer.
From www.oncotarget.com
Oncotarget Neuroendocrine carcinoma of uterine cervix findings shown Neuroendocrine Endometrial Cancer endometrial neuroendocrine carcinoma (nec) is a rare type of endometrial cancer that originates from. neuroendocrine carcinoma (neca) of the endometrium is an uncommon tumor. large cell neuroendocrine tumor of the endometrium is a rare malignancy with an aggressive course. Neuroendocrine carcinoma of the endometrium (nece) is a rare malignancy. neuroendocrine carcinoma of the endometrium (nece) is. Neuroendocrine Endometrial Cancer.
From www.researchgate.net
(PDF) Neuroendocrine Carcinomas of the Uterine Cervix, Endometrium, and Neuroendocrine Endometrial Cancer neuroendocrine carcinoma (neca) of the endometrium is an uncommon tumor. endometrial neuroendocrine carcinoma (nec) is a rare type of endometrial cancer that originates from. large cell neuroendocrine tumor of the endometrium is a rare malignancy with an aggressive course. neuroendocrine carcinoma of the endometrium (nece) is a rare malignancy. To investigate the clinicopathologic characteristics, prognostic factors,.. Neuroendocrine Endometrial Cancer.
From www.researchgate.net
(PDF) Primary endometrial large cell neuroendocrine carcinoma with Neuroendocrine Endometrial Cancer Neuroendocrine carcinoma of the endometrium (nece) is a rare malignancy. neuroendocrine carcinoma (neca) of the endometrium is an uncommon tumor. neuroendocrine carcinoma of the endometrium (nece) is a rare malignancy. endometrial neuroendocrine carcinoma (nec) is a rare type of endometrial cancer that originates from. We examined the natural history and. To analyze clinical behavior of, optimal treatment. Neuroendocrine Endometrial Cancer.
From www.pathologyoutlines.com
Pathology Outlines Large cell neuroendocrine carcinoma Neuroendocrine Endometrial Cancer To analyze clinical behavior of, optimal treatment regimens for, outcomes, and prognosis of 170 patients. endometrial neuroendocrine carcinoma (nec) is a rare type of endometrial cancer that originates from. neuroendocrine carcinoma of the endometrium (nece) is a rare malignancy. To investigate the clinicopathologic characteristics, prognostic factors,. We examined the natural history and. Neuroendocrine carcinoma of the endometrium (nece). Neuroendocrine Endometrial Cancer.
From www.bajajfinservhealth.in
Uterine Cancer Symptoms, Causes, Diagnosis and Treatment Neuroendocrine Endometrial Cancer neuroendocrine carcinoma of the endometrium (nece) is a rare malignancy. endometrial neuroendocrine carcinoma (nec) is a rare type of endometrial cancer that originates from. To analyze clinical behavior of, optimal treatment regimens for, outcomes, and prognosis of 170 patients. We examined the natural history and. large cell neuroendocrine tumor of the endometrium is a rare malignancy with. Neuroendocrine Endometrial Cancer.
From peerj.com
Prognostic factors and treatment of neuroendocrine tumors of the Neuroendocrine Endometrial Cancer large cell neuroendocrine tumor of the endometrium is a rare malignancy with an aggressive course. To investigate the clinicopathologic characteristics, prognostic factors,. We examined the natural history and. neuroendocrine carcinoma (neca) of the endometrium is an uncommon tumor. To analyze clinical behavior of, optimal treatment regimens for, outcomes, and prognosis of 170 patients. neuroendocrine carcinoma of the. Neuroendocrine Endometrial Cancer.
From pubs.rsna.org
Update on MRI in Evaluation and Treatment of Endometrial Cancer Neuroendocrine Endometrial Cancer To analyze clinical behavior of, optimal treatment regimens for, outcomes, and prognosis of 170 patients. neuroendocrine carcinoma of the endometrium (nece) is a rare malignancy. We examined the natural history and. To investigate the clinicopathologic characteristics, prognostic factors,. neuroendocrine carcinoma (neca) of the endometrium is an uncommon tumor. large cell neuroendocrine tumor of the endometrium is a. Neuroendocrine Endometrial Cancer.
From www.cureus.com
Cureus Neuroendocrine Carcinoma of Uterine Cervix Stereotactic Neuroendocrine Endometrial Cancer neuroendocrine carcinoma (neca) of the endometrium is an uncommon tumor. We examined the natural history and. neuroendocrine carcinoma of the endometrium (nece) is a rare malignancy. Neuroendocrine carcinoma of the endometrium (nece) is a rare malignancy. large cell neuroendocrine tumor of the endometrium is a rare malignancy with an aggressive course. To analyze clinical behavior of, optimal. Neuroendocrine Endometrial Cancer.
From healthjade.com
Neuroendocrine Tumor Causes, Symptoms, Diagnosis, Prognosis, Treatment Neuroendocrine Endometrial Cancer large cell neuroendocrine tumor of the endometrium is a rare malignancy with an aggressive course. To analyze clinical behavior of, optimal treatment regimens for, outcomes, and prognosis of 170 patients. To investigate the clinicopathologic characteristics, prognostic factors,. neuroendocrine carcinoma (neca) of the endometrium is an uncommon tumor. endometrial neuroendocrine carcinoma (nec) is a rare type of endometrial. Neuroendocrine Endometrial Cancer.
From www.researchgate.net
Smallcell neuroendocrine cancer of uterine cervix, ki67 about 60 Neuroendocrine Endometrial Cancer Neuroendocrine carcinoma of the endometrium (nece) is a rare malignancy. large cell neuroendocrine tumor of the endometrium is a rare malignancy with an aggressive course. endometrial neuroendocrine carcinoma (nec) is a rare type of endometrial cancer that originates from. neuroendocrine carcinoma (neca) of the endometrium is an uncommon tumor. To investigate the clinicopathologic characteristics, prognostic factors,. We. Neuroendocrine Endometrial Cancer.
From www.cureus.com
Cureus Neuroendocrine Carcinoma of Uterine Cervix Stereotactic Neuroendocrine Endometrial Cancer To investigate the clinicopathologic characteristics, prognostic factors,. neuroendocrine carcinoma (neca) of the endometrium is an uncommon tumor. Neuroendocrine carcinoma of the endometrium (nece) is a rare malignancy. neuroendocrine carcinoma of the endometrium (nece) is a rare malignancy. endometrial neuroendocrine carcinoma (nec) is a rare type of endometrial cancer that originates from. large cell neuroendocrine tumor of. Neuroendocrine Endometrial Cancer.
From www.spandidos-publications.com
Neuroendocrine small cell carcinoma of the cervix A case report Neuroendocrine Endometrial Cancer We examined the natural history and. large cell neuroendocrine tumor of the endometrium is a rare malignancy with an aggressive course. neuroendocrine carcinoma (neca) of the endometrium is an uncommon tumor. To analyze clinical behavior of, optimal treatment regimens for, outcomes, and prognosis of 170 patients. Neuroendocrine carcinoma of the endometrium (nece) is a rare malignancy. To investigate. Neuroendocrine Endometrial Cancer.
From www.researchgate.net
A 58yearold woman with endometrial cancer, neuroendocrine carcinoma Neuroendocrine Endometrial Cancer Neuroendocrine carcinoma of the endometrium (nece) is a rare malignancy. neuroendocrine carcinoma (neca) of the endometrium is an uncommon tumor. neuroendocrine carcinoma of the endometrium (nece) is a rare malignancy. To investigate the clinicopathologic characteristics, prognostic factors,. large cell neuroendocrine tumor of the endometrium is a rare malignancy with an aggressive course. We examined the natural history. Neuroendocrine Endometrial Cancer.
From www.semanticscholar.org
Figure 1 from Tumor evolution in a patient with recurrent endometrial Neuroendocrine Endometrial Cancer neuroendocrine carcinoma (neca) of the endometrium is an uncommon tumor. To investigate the clinicopathologic characteristics, prognostic factors,. endometrial neuroendocrine carcinoma (nec) is a rare type of endometrial cancer that originates from. Neuroendocrine carcinoma of the endometrium (nece) is a rare malignancy. neuroendocrine carcinoma of the endometrium (nece) is a rare malignancy. We examined the natural history and.. Neuroendocrine Endometrial Cancer.
From cytojournal.com
Cytological features of adenocarcinoma admixed with small cell Neuroendocrine Endometrial Cancer large cell neuroendocrine tumor of the endometrium is a rare malignancy with an aggressive course. neuroendocrine carcinoma of the endometrium (nece) is a rare malignancy. neuroendocrine carcinoma (neca) of the endometrium is an uncommon tumor. To investigate the clinicopathologic characteristics, prognostic factors,. Neuroendocrine carcinoma of the endometrium (nece) is a rare malignancy. endometrial neuroendocrine carcinoma (nec). Neuroendocrine Endometrial Cancer.
From spandidos-publications.com
Rapidly progressing largecell neuroendocrine carcinoma arising from Neuroendocrine Endometrial Cancer To investigate the clinicopathologic characteristics, prognostic factors,. neuroendocrine carcinoma (neca) of the endometrium is an uncommon tumor. neuroendocrine carcinoma of the endometrium (nece) is a rare malignancy. large cell neuroendocrine tumor of the endometrium is a rare malignancy with an aggressive course. endometrial neuroendocrine carcinoma (nec) is a rare type of endometrial cancer that originates from.. Neuroendocrine Endometrial Cancer.